Ngày 20/2,bác sĩ Đặng Thị Thư Vy,Trưởng khoa Tâm thần kinh - Cơ xương khớp,Bệnh viện Việt Nam - Thụy Điển Uông Bí,cho biết đây là trường hợp hiếm gặp,khi nhập viện đã yếu liệt nửa người trái. Bệnh nhân tiền sử khỏe mạnh,không bệnh lý nền,thể trạng béo phì.
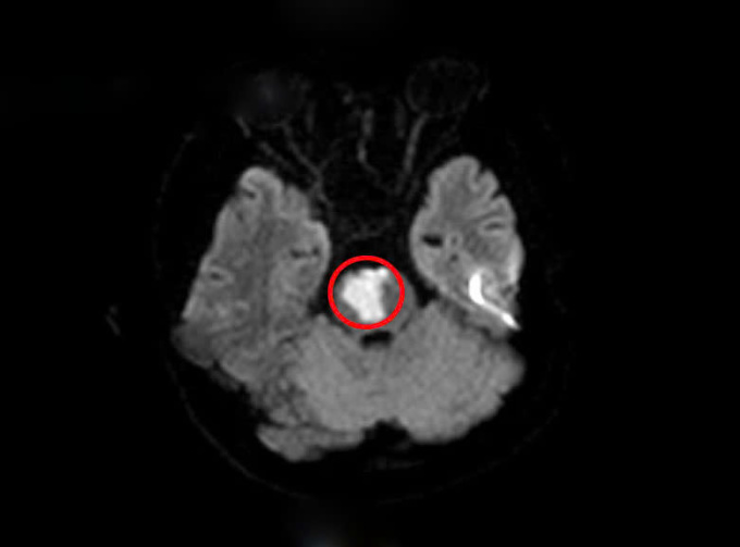
Kết quả chụp MRI sọ não bệnh nhân phát hiện khối nhồi máu tiểu não,cầu não do tắc động mạch thân nền. Xét nghiệm máu có rối loạn lipid máu,một yếu tố nguy cơ dẫn đến các vấn đề tim mạch và mạch máu não. Người bệnh được phát hiện bất thường trong hệ gene làm tăng nguy cơ tạo huyết khối tắc mạch.
"Bệnh nhân rất trẻ nhưng lại đột quỵ nhồi máu não,rối loạn lipid nghiêm trọng,là trường hợp hiếm gặp",bác sĩ Vy nói. Bệnh viện hội chẩn cùng bác sĩ Trung tâm đột quỵ Bệnh viện Bạch Mai,điều trị tích cực. Sau cấp cứu,người bệnh đã dần ổn định và hồi phục chức năng vận động cơ bản. Bệnh nhân tiếp tục theo dõi sức khỏe và điều trị bằng phương pháp tập phục hồi chức năng để phục hồi khả năng vận động của cơ thể.

Kết quả chụp não phát hiện nhồi máu não. Ảnh: Bệnh viện cung cấp
Đột quỵ não còn gọi tai biến mạch máu não,là tình trạng máu cung cấp cho một phần não bị gián đoạn hoặc giảm nặng khiến vùng não đó bị thiếu oxy và dinh dưỡng. Chỉ trong vòng vài phút thiếu máu,thiếu oxy,tế bào não sẽ chết. Vùng tế bào não bị tổn thương nặng hoặc lan rộng có thể dẫn đến tử vong hoặc để lại di chứng nặng nề về rối loạn vận động,nhận thức,ngôn ngữ,thị giác...
Đột quỵ não gồm hai dạng là nhồi máu não và xuất huyết não. Trong đó,nhồi máu não phổ biến hơn,chiếm khoảng 85% các trường hợp đột quỵ. Xuất huyết não tỷ lệ 15% nhưng biến chứng nặng hơn,số tử vong cao hơn.
Nhồi máu não (thiếu máu não cục bộ) xảy ra khi mạch máu cung cấp cho não bị tắc bởi cục máu đông,huyết khối,hẹp xơ vữa động mạch. Tỷ lệ tử vong khoảng 15-20% và có thể chữa khỏi nếu đến viện sớm trong những giờ đầu kể từ khi có dấu hiệu đột quỵ.
Để phát hiện kịp thời và đơn giản,Hội Đột quỵ Thế giới khuyến cáo kiểm tra theo quy tắc F.A.S.T. Trong đó,F là Face - mặt,yêu cầu người bệnh cười hoặc nhăn mặt,nếu một bên mặt bị xệ hoặc không thể cử động bình thường có thể là dấu hiệu của đột quỵ. A là Arms - tay,yêu cầu người bệnh nâng cả hai tay lên,cảnh giác nếu một tay yếu hoặc rơi xuống,không thể giữ vững.
S là Speech - lời nói,người bệnh lặp lại một câu đơn giản,nếu nói không rõ hoặc không thể nói được có thể là dấu hiệu của đột quỵ. T là Time - thời gian,khi nhận thấy bất kỳ dấu hiệu nào ở trên,hãy gọi cấp cứu ngay lập tức,đưa người bệnh đến cơ sở có khả năng cấp cứu điều trị đột quỵ gần nhất.
Thùy An